Beynin yarısından alınan bir insan, yaşama normal bir şekilde devam edebilir mi? Bu cevaba cevap için California Teknoloji Enstitüsü’nün araştırmasına göz atmak gerekiyor.
İnsanlığın var olduğu ve şimdiye kadar dek bilimin bulunduğu insana dair pek çok soru işareti giderilmiş, merak edilenlerin içindeki sır perdeleri aralanmış olsa da beyin hakkında hala açıklanamayan istemek şey bulunuyor. Bunun tr çarpıcı örneklerinden biri de beyinin yarısından alınan insanlar!
Beyinde oluşan küçük hasarlar ve hücreler bile insan hayatını ciddi bir şekilde etkilerken, ebeveynlerinden çıkarılmış olması kulağa son derece ürkütücü geliyor. Ceviz içini andıran görüntüsüyle beynimizin iki parçadan meydana geldiği yerlerden. Peki ya yarım, yani bir parçası hayata tutunabilmek için yeterli mi?
California Teknoloji Enstitüsü’nden insanlar bilim 2019’un başında ilgili ilginç bir çalışmaya imza atmıştı.

Anna Shvets/Pexels
Çocukluğundan beri epilepsiyle savaşmış ve ilaçlarla tedavide başarılı olunamamış 4’ü erkek 2’si kadın olmak üzere 6 hasta, bu bilimsel araştırma için gözetlendi. Ameliyatla beyinlerinin yarısından seçildi hastaların yoğun epilepsi gözetimlerinden kurtulması hedefleniyordu.
Epilepsiyi duydunuz veya yakınlarınızdan bu hastalık zorla başlaması bir hastalık görmüşsünüzdür. Beyindeki yoğun trafikten sorumlu nöronlarda kontrolsüz boşalmaların yaşanan epilepsi, sık rastlanan sinir yollarından biridir.
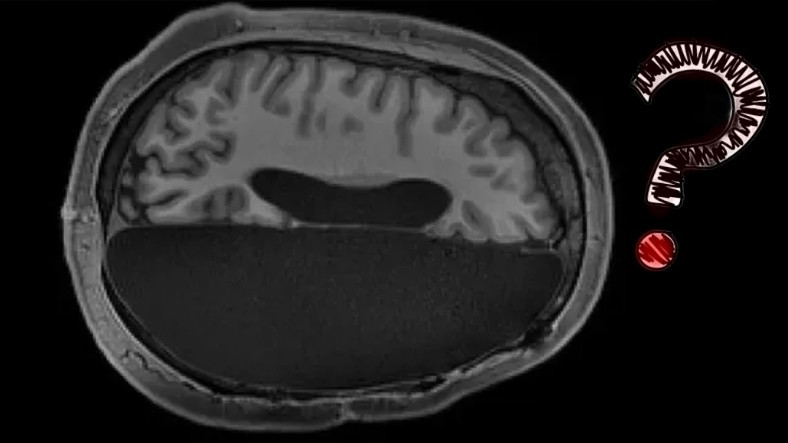
California Teknoloji Enstitüsü’ndeki, beynin yarısı olmayan bu 6 kişinin MRI (manyetik rezonans görüntüleme) sonuçları incelenerek, sağlıklı insanların MR sonuçlarıyla karşılaştırdı.

Yapılan incelemenin sonuçları birden fazla şaşırttı! Radyolojik görüntüler referansları; yarım beyinle yaşamlarına devam eden bu 6 kişinin beyin faaliyetleri ile sağlıklı insanların beyinlerini yürütmek arasında büyük ölçekli gösterim olduğu görülmüştür.
Yani yarım beyinle yaşamak mümkün!

beyindeki sağlıklı bölge, hasret gören Yarım küredeki nöron ağlarının eksikliğini belli bir oranda telafi edebilmek için ağ akışını artırmaya çalışıyor.
hariç saklamak, yazar anlama ve mantık kurma gibi yoğun yeteneklerde ciddi ölçüde çalışıyorlar. Vücut vücudunda sağlıklı bir insana göre gerilemeler ve problemler görülse de yarım beyinle yaşamaya devam ediyor!
İLGİLİ HABER
Astronotların Beyinlerinde Yaşayan Değişimlerin, Dünya’ya Döndükten Aylar Sonra Bile Devam Ettiği Tespit Edildi: Peki Bu Ne Anlama Geliyor?
:
https://www.caltech.edu/about/news/patients-missing-one-brain-hemisphere-show-surprisingly-intact-neural-connections
$(function(){
window.fbAsyncInit=function()
FB.init(appId:'1037724072951294',xfbml:!0,version:'v2.5');
(function(d,s,id)
var js,fjs=d.getElementsByTagName(s)[0];if(d.getElementById(id))return;js=d.createElement(s);js.id=id;js.src="https://connect.facebook.net/tr_TR/sdk.js";fjs.parentNode.insertBefore(js,fjs);(document,'script','facebook-jssdk'));
$('body').on(click:function()
FB.XFBML.parse();
,'.facebook-save');
if($('.content-sticky').length>0){if($(window).width()>=768){$(window).on('scroll',function(){var scrollTop=$(this).scrollTop();$('article').each(function()
if(scrollTop>=($(this).find('.content-body').offset().top-76))
$(this).find('.content-sticky').addClass('sticky');if(scrollTop>=($(this).find('.content-body').offset().top+$(this).find('.content-body').height()-($(this).find('.content-sticky').height()+92)))
$(this).find('.content-sticky').removeClass('sticky');$(this).find('.content-sticky').css('bottom':'0px','top':'auto');else $(this).find('.content-sticky').addClass('sticky').css('bottom':'initial','top':'76px');
else
$(this).find('.content-sticky').removeClass('sticky').css('bottom':'auto','top':'0');
)})}}
$('body').on({click:function(){var $this=$(this),dataShareType=$this.attr('data-share-type'),dataType=$this.attr('data-type'),dataId=$this.attr('data-id'),dataPostUrl=$this.attr('data-post-url'),dataTitle=$this.attr('data-title'),dataSef=$this.attr('data-sef');
switch(dataShareType)
case 'facebook':FB.ui(method:'share',href:dataSef,,function(response)
if(response&&!response.error_message)
updateHit();
);
break;
case 'twitter':shareWindow('https://twitter.com/intent/tweet?via=webtekno&text="+encodeURIComponent(dataTitle) + " %E2%96%B6 '+encodeURIComponent(dataSef));updateHit();break;
case 'gplus':shareWindow('https://plus.google.com/share?url=" + encodeURIComponent(dataSef));
updateHit();
break;
case "mail':window.location.href="https://www.webtekno.com/mailto:?subject="+encodeURIComponent(dataTitle)+'&body='+encodeURIComponent(dataSef);break;
case 'whatsapp':window.location.href="whatsapp://send?text="+encodeURIComponent(dataTitle)+' %E2%96%B6 '+encodeURIComponent(dataSef);updateHit();break;
function shareWindow(url)
window.open(url,"_blank","toolbar=yes, scrollbars=yes, resizable=yes, top=500, left=500, width=400, height=400");
function updateHit(){$.ajax({type:"POST",url:dataPostUrl,data:contentId:dataId,contentType:dataType,shareType:dataShareType,success:function(data)
if($('.video-showcase').length>0)
var $container=$('.video-showcase');else if($('article[data-id="'+dataId+'"]').length>0)
var $container=$('article[data-id="'+dataId+'"]');else if($('.wt-share-item[data-id="'+dataId+'"]').length>0)
var $container=$('.wt-share-item[data-id="'+dataId+'"]');else $container=null;
if($container!=null&&$container.length>0)
})}}},'.wt-share-button')});
Yorum Yaz